Terapia Canalare Molare Superiore
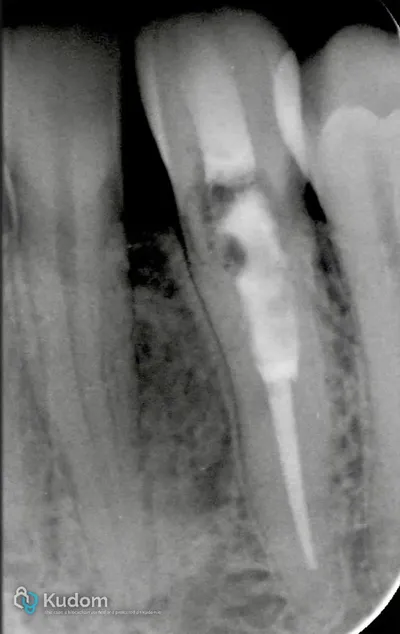
Trattamento endodontico di un primo molare mascellare, con attenzione alla corretta detersione, sagomatura e otturazione.
Gestione di riassorbimento esterno cervicale invasivo: iniziale trattamento ortogrado con riparazione interna in MTA. Dopo 15 anni, a causa di riattivazione, si esegue intervento chirurgico con isolamento a lembi aperti: rimozione del tessuto infiammatorio, riparazione del difetto con bioceramico putty, flow e composito. Dopo finishing e polishing, il lembo viene suturato.
Esplora altri casi clinici trattati dal Dr. Fabio Gorni.
Trattamento endodontico di un primo molare mascellare, con attenzione alla corretta detersione, sagomatura e otturazione.
Ritrattamento endodontico complesso di un primo molare inferiore con lesione alla forcazione e otturazione di un canale laterale con successivo build-up per overlay a ricopertura cuspidale.
Rigenerazione pulpare su dente immaturo necrotico: disinfezione canalare, induzione del sanguinamento apicale con stabilizzazione del coagulo e sigillatura con plug di MTA, seguito da progressivo sviluppo radicolare.